Read Time:23 Second
إن فقدان الأسنان من المشاكل المهمة التي تواجه الإنسان حيث أن فقدان الاسنان يؤثر على المنظر الجميل للوجه ، والوظيفة الفموية للأسنان كما أنها تؤدي الى ذوبان العظم في تلك المنطقة وبالتالي ظهور التجاعيد بجانب زوايا الفم .
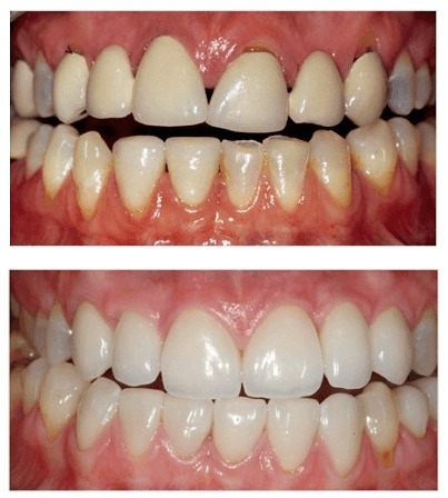
تركيبات خزفية لتغطية الأسنان الملونة أو المكسورة ( قشور ) Porcelain Laminate veneers أو قشور بدون التحضير للأسنان الأماميةLumineers
وهناك عدة طرق لتعويض الأسنان المفقودة بحسب الحاجة والحالة الموجودة عند المريض. ما عليك سوا اتصال بمركز طيبة لطب الاسنان والجراحة بمدنية انتورب
شارك هذا الموضوع:
- المشاركة على X (فتح في نافذة جديدة) X
- شارك على فيس بوك (فتح في نافذة جديدة) فيس بوك
- اطبع (فتح في نافذة جديدة) طباعة
- إرسال رابط بالبريد الإلكتروني إلى صديق (فتح في نافذة جديدة) البريد الإلكتروني
- المشاركة على LinkedIn (فتح في نافذة جديدة) LinkedIn
- المشاركة على Reddit (فتح في نافذة جديدة) Reddit
- مشاركة على Tumblr (فتح في نافذة جديدة) Tumblr
- المشاركة على Pinterest (فتح في نافذة جديدة) Pinterest
- المشاركة على Telegram (فتح في نافذة جديدة) Telegram
- المشاركة على WhatsApp (فتح في نافذة جديدة) WhatsApp
- المشاركة على Mastodon (فتح في نافذة جديدة) Mastodon
